Thứ Năm, 28 tháng 8, 2014

Thẩm mỹ toàn hàm và những điều bạn cần biết

Boc rang su tham my o dau tot  Thẩm mỹ toàn hàm có tốt không ? nó là sự kết hợp giữa  nghệ thuật lựa chọn các chất liệu làm răng sứ thẩm mỹ và các tính toán, đo đạc, thiết kế về kích thước răng, màu sắc, hình thể, chất liệu gắn răng, sự khít sát của răng sứ mới sao cho đạt được kết quả tối ưu nhất về thẩm mỹ và chức năng, có sự tương hợp với màu môi, màu da mặt, giới tính...
 rang-su-tham-my
   Chất liệu thường được chọn để làm răng sứ toàn sứ hay còn gọi là răng sứ không kim loại là Zirconia, tên thương mại của nhà sản xuất chất liệu sứ Zirconia từ Dentsply - USA là sứ Cercon, tên thương mại của sản phẩm của nha sản xuất Nhật Bản là Katana-Noritake

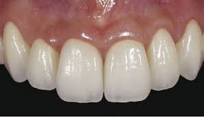
Tiêu chí để đánh giá kết quả sau làm Thẩm mỹ toàn hàm:


          Hình thể răng sứ gắn chặt mới phù hợp với giới tính của bn, có tính đối xứng giữa bên phải và bên trái qua đường giữa
          Màu sắc phải phù hợp với màu môi, màu da của bệnh nhân, có độ trong mờ ở rìa cắn, có sắc vàng nhạt ở vùng cổ răng  tạo hình ảnh thị giác đều đặn và trắng đẹp hơn răng thật
          Tương quan giữa các răng trong cùng một hàm có tính đối xứng, đúng tỉ lệ chiều ngang, chiều cao giữa từng cặp răng với nhau
          Màu lợi hồng nhạt tự nhiên, không bị thâm là kết quả hấp phụ ánh sáng của chất liệu sứ không kim loại ( khuyến cáo nên dùng sứ Cercon hoặc sứ Takana không kim loại )
          Các kết quả thẩm mỹ đối với răng và lợi trên là toàn bộ quá trình sử dụng hàm răng sứ thẩm mỹ mới chứ không giới hạn thời gian có kết quả cao trong 3 hay 5 năm, chất liệu sứ cao cấp và thiết kế mang tính sinh học hình thể nên không cho phép lưu rắt thức ăn, không gây hôi miệng, không gây tụt lợi trong suốt quá trình ăn nhai, sinh hoạt sau khi lắp răng sứ thẩm mỹ hoàn thiện cho quý khách

Cơ sở nha khoa uy tín để bọc răng sứ

Bọc một chiếc răng sứ hay làm bất cứ việc gì liên quan tới răng bằng sứ không hề đơn giản, người bác sĩ phải có cả tay nghề lẫn y đức làm sao để mài cùi răng thật cẩn thận, chính xác và đúng chỉ định, làm tăng mức thẩm mỹ, độ dày của lớp sứ sau này đảm bảo. Người bác sĩ cũng là người quyết định chiếc răng mài có cần chữa tủy hay không, có đúng ý của bệnh nhân không, chiếc răng mới làm giống màu sắc của răng bên cạnh.
lam-rang-su-tham-my
Vậy Boc rang su tham my o dau tot 
Để được tư vấn và làm răng sứ cho mình chất lượng, có tính thẩm mỹ cao. Với đội ngũ y bác sĩ có kinh nghiệm nhiều năm trong nghề bạn có thể an tâm khi tìm tới để bọc răng sứ.

- Luôn cập nhật các phương pháp điều trị răng mới nhất.
- Hệ thống máy móc và trang thiết bị hiện đại, nhập trực tiếp của Châu Âu, đạt tiêu chuẩn quốc tế về an toàn, kỹ thuật.
- Chi phí hợp lý.
- Nằm tại vị trí trung tâm thuận tiện cho khách hàng đến khám.
- Không gian phòng khám rộng rãi, thoáng mát, sạch sẽ.
- Phong cách phục vụ chuyên nghiệp, thân thiện và nhiệt tình.

Làm răg sứ mang lại những lợi ích gì?

Những răng bị mòn men được bọc răng sứ sẽ không còn gây khó chịu cho bạn trước những kích thích thường gặp trong ăn uống hàng ngày Boc rang su tham my o dau tot .
Hầu hết những răng bị bệnh lý sau điều trị nếu không làm răng thẩm mỹ lại thì phần mô răng còn khỏe mạnh sẽ không những không được bảo vệ mà còn có nguy cơ bị bệnh lý tái phát.
Ngay cả những răng không bị bệnh lý và vẫn còn chắc khỏe nhưng nếu mọc lệch hoặc có hình thể xấu xí mà việc duy trì nó có thể làm hỏng thẩm mỹ của cả khuôn răng thì việc làm lại cũng rất cần thiết. Duy trì những chiếc răng không đều cũng chính là nguyên nhân khiến cho răng miệng gặp phải nhiều vấn đề hơn, cao răng, răng sâu, viêm nướu, nha chu,…
 lam-rang-su
 Làm răng giúp hàm răng đều đặn hơn
Trường hợp răng không đều vẫn có thể nắn chỉnh bằng cách làm răng sứ để khắc phục trong thời gian ngắn mà không nhất thiết phải niềng răng tốn nhiều thời gian hơn.
Với kỹ thuật tạo hình lại hình thể răng, bác sỹ và kỹ thuật viên răng sứ sẽ giúp bạn chỉnh lại những chiếc răng không đều với vẻ thẩm mỹ nhất, đến mức bạn không thể nhận ra là hàm răng đã từng khấp khểnh khiến bạn mất tự tin trong giao tiếp như thế nào.

Đó là 4 lợi ích mà việc làm răng có thể mang đến cho bạn. Dẫu không thể hơn răng thật, tuy nhiên, trong trường hợp phải thay thế thì làm răng sứ vẫn là sự lựa chọn đúng đắn và đảm bảo nhất cho bạn, thỏa mãn đồng thời cả hai yêu cầu thẩm mỹ và chức năng.

Ưu điểm của răng sứ thẩm mỹ

Các ưu điểm của răng sứ là gì? Boc rang su tham my o dau tot 
1. Giúp hàm răng thẩm mỹ hơn
Không phải ai sinh ra đều có được hàm răng khoẻ và sang bóng. Tuy nhiên, với răng sứ thì các bạn hoàn toàn có thể lựa chọn cấp độ sang của răng cho phù hợp hơn với màu da. Ngoài ra, răng sứ không kim loại còn có màu sắc đẹp, sáng và có độ bóng tốt.
 lam-rang-su
2. Răng sứ bền chắc không kém răng thật.
Khi răng không may bị các tổn thương hoặc bệnh lí không mong muốn thì các bạn nên tiến hành điều trị bệnh lí và phục hình lại răng sớm nhất có thể. Răng cũng như nhiều bộ phận khác trong cơ thể, một khi bị tổn thương thì không thể phục hồi lại được. Một số trường hợp nếu không chữa trị kịp thời có thể gây mất răng hoàn toàn.
Độ bền của răng nhân tạo được tính toán là không kém so với răng thật. So về độ chịu lực, răng sứ không kim loại còn cao hơn độ chịu lực của răng thật. Loại sứ tốt nhất còn có tính đàn hồi và khả năng cảm biến được thức ăn khá tốt, tuy không thể so với răng sinh lý, song răng sứ không kim loại vẫn là sự thay thế hoàn hảo nhất cho răng thật. Có thể làm răng vĩnh viễn từ loại sứ tốt nhất mà không phải lo lắng về sức bền và độ thẩm mỹ lâu dài của răng.

Thứ Hai, 25 tháng 8, 2014

Làm răng sứ ở đâu tốt nhất Hà Nội ?

Không ít trường hợp bị tình trạng mão sứ không khít sát với cùi răng đã mài để ôm vừa đúng đường viền nướu, hoặc dưới đường viền nướu nên không đạt yêu cầu thẩm mỹ, dễ bị sâu răng tái phát, hoặc gây hôi miệng do thức ăn bám đọng vào những khe giữa đường cổ răng của mão sứ với đường cổ răng thật của bệnh nhân.
 bọc răng sứ
Do vậy để tránh những tai biến không đáng có nên tìm đến những cơ sở nha khoa uy tín để bọc răng sứ vậy Boc rang su tham my o dau tot . Bạn sẽ được gặp đội ngũ bác sĩ với trang thiết bị hiện đại để bạn làm răng sứ an toàn và nhanh chóng hơn.

Bọc một chiếc răng sứ hay làm bất cứ việc gì liên quan tới răng bằng sứ không hề đơn giản, người bác sĩ phải có cả tay nghề lẫn y đức làm sao để mài cùi răng thật cẩn thận, chính xác và đúng chỉ định, làm tăng mức thẩm mỹ, độ dày của lớp sứ sau này đảm bảo. Người bác sĩ cũng là người quyết định chiếc răng mài có cần chữa tủy hay không, có đúng ý của bệnh nhân không, chiếc răng mới làm giống màu sắc của răng bên cạnh.

Thứ Bảy, 23 tháng 8, 2014

Lấy cao răng tại phòng khám nha khoa uy tín

Cao răng là chất cặn lắng cứng có màu vàng nâu, thường đóng xung quanh cổ răng, trên hàm giả. Cao răng được hình thành từ màng bám của thức ăn trên bề mặt răng, vi khuẩn, các mảnh vụn thức ăn, các chất khoáng trong miệng, xác các tế bào biểu mô, sự lắng đọng sắt của huyết thanh trong máu, nước bọt… việc lựa chọn một địa chỉ  Boc rang su tham my o dau tot là thiết
boc-rang-su
Do bám chặt vào răng, trên đó lại có rất nhiều vi khuẩn và các tạp chất, nên cao răng có thể gây viêm nướu, tiêu xương ổ răng, làm cho răng tụt nướu, vì vậy, người có cao răng có thể có cảm giác ê buốt khó chịu khi ăn uống, chải răng. Cao răng có thể gây viêm nha chu, các bệnh ở niêm mạc miệng như viêm niêm mạc miệng, lở miệng, bệnh ở vùng mũi họng như viêm amidan, viêm họng, bệnh tim mạch.

Phục hình răng sứ tại Hà Nội

Hiện nay, nhiều phòng khám phải đợi sau vài ngày mới chế tạo xong răng.Boc rang su tham my o dau tot Nếu ở tỉnh xa thì khi bọc răng sứ bạn sẽ phải đi lại nhiều lần. Nếu thuận lợi là 2 lần, trừ khi răng sứ sau khi chế tạo lại có lỗi lúc lắp răng thì sẽ tiêu tốn thêm của bạn 1 ngày nữa.
 bọc răng sứ

Hiểu rõ được những bất tiện này, Nha khoa Châu Thành vừa kết hợp sử dụng công cụ kỹ thuật số để mài cùi, lấy dấu răng với việc chế tạo răng sứ trên máy tính để rút ngắn tối đa thời gian cho khách hàng khi bọc răng sứ. Răng được chế tạo vẫn đảm bảo tiêu chuẩn, tương thích, đẹp mà khách hàng không phải mất công đi lại nhiều lần vì với tốc độ chế tạo răng sứ , bạn có thể có răng ngay trong ngày, không xảy ra sai sót nên không lo mất thêm thời gian chỉnh sửa lại. muốn bọc răng sứ thì có thể yên tâm về vấn đề bọc răng sứ mất bao lâu nhé. Bạn sẽ có luôn răng ngay trong ngày khám. Hãy gọi về tổng đài tư vấn để được hướng dẫn đặt lịch trước.

Các loại răng sứ tại nha khoa O'CARE

Boc rang su tham my o dau tot có các loại răng sứ nào? 
Răng toàn sứ Zirconia: Bên ngoài được được phủ một lớp sứ, phần khung sườn đươc làm bằng vật liệu Zirconia (ZrO2) là oxit của kim loại Zirconium (Zr), đây là vật liệu có đặc tính sinh học cao như cứng, chụi nhiệt tốt, chống mài mòn và có màu trắng tự nhiên, được dùng rộng dãi trong y khoa.
 răng sứ
Răng sứ Zirconia tại nha khoa OCare.

Răng sứ TiTan: Về mặt cấu tạo thì bên ngoài vẫn là lớp sứ bao phủ, chỉ có sườn kim loại bên trong là bằng titan.Kim loại Titan được dùng phỏ biến trong y học:  được sử dụng trong cấy ghép vào cơ thể người vì nó không gây dị ứng, ung thư, biến dạng,…

Răng sứ Titan

Cầu răng sứ kim loại : Gọi là sứ kim loại bởi vì bên trong có lớp sườn kim loại dày từ 0.3mm trở lên, bao bọc bên ngoài bởi nhiều lớp sứ thẩm mỹ đẹp tự nhiên được nung nhiều lần dưới nhiệt độ cao hơn 850 độ C.Chịu lực tốt, màu sắc đẹp và giá phải chăng.Được dùng làm mão, cầu răng, veneer sứ kim loại,...Tuổi thọ trên dưới 10 năm. có thể dùng đến lâu hơn với răng hàm trong.


Cầu răng sứ kim loại

Lời khuyên sau khi gắn răng giả tháo lắp:

Boc rang su tham my o dau tot  Hàm tháo lắp có tốt không? Hàm giả tháo lắp có vẻ cồng kềnh, vướng víu trong những ngày đầu. Cần một thời gian để hệ thống môi, má, lưỡi quen với hàm giả mới.
  bọc răng sứ thẩm mỹ
Cần tập phát âm bằng cách đọc to giọng.

Nước bọt tiết nhiều hơn trong vài ngày đầu.

Tập ăn với thức ăn mềm, nhai từng phần nhỏ, nhai chậm, nhẹ nhàng. Tránh thức ăn cứng ít nhất trong 8 ngày đầu.
5.  Sau mỗi bữa ăn, nên tháo hàm giả ra và chải rửa. Dùng xà phòng để chải hàm giả,

     không dùng kem đánh răng chải hàm giả vì sẽ làm mòn hàm giả.

6.  Nên chải hàm giả trên một chậu nước đầy, vì nếu đánh rơi hàm cũng không bị gãy.

7.  Hàm giả mới có thể gây đau, không được tự ý sữa chữa, phải mang hàm ít nhất một

     ngày trước khi đến phòng mạch để bác sĩ có thể mài sửa đúng.

8.  Ban đêm, nên tháo hàm ra, ngâm hàm trong ly nước sạch (ly có nắp đậy).


9.  Nên thay hàm giả mới sau 3 – 5 năm, khi hàm giả không còn dính chắc.

Phục hình răng là gì?


Khi răng bị sâu nhiều hay vỡ lớn, không thể dùng phương pháp trám thông thường, hoặc khi mất răng, Phục hình răng là giải pháp giúp khôi phục trạng thái lúc đầu cho răng của bạn.
 bọc răng sứ
Boc rang su tham my o dau tot khi nào phải phục hình răng sứ? Là phục hồi lại hình dạng răng bị mất chất, nhằm trả lại cho răng khả năng thực hiện chức năng ăn nhai, và vẻ thẩm mỹ.

Tại sao phải làm răng sứ ?

Tại sao phải làm răng sứ ? Boc rang su tham my o dau tot Vì đối với một số trường hợp răng sâu, bể quá lớn, nếu trám thông thường sẽ dễ bị sút miếng trám, răng bị thưa, lêch lạc thì răng sứ chính là giải pháp giúp giải quyết vấn đề thẩm mỹ và chức năng ăn nhai của bạn.

 rang su tham my
Đối với một chiếc răng sứ thì lớp sườn đúc  (lớp bên trong) rất quan trọng nếu không khít sát với cùi răng thì qua quá trình ăn nhai, răng sứ có thể bị sút ra. Đồng thời răng bên trong có thể bị sâu do đọng thức ăn và bị ê buốt do nước, thức ăn lọt vào, lâu ngày sẽ gây chết tủy vì rất khó phát hiện kiểu sâu răng này. Vì vậy khi làm răng sứ buộc phải có giai đoạn thử sườn để kiểm tra độ khít sát này.

Những trường hợp nên làm mão sứ,

Boc rang su tham my o dau tot Tuổi thọ của răng còn phụ thuộc vào những yếu tố khác như nướu răng và xương xung quanh, nên khi mài răng phải bảo đảm không làm tổn thương mô nướu và xương ổ răng.
- Răng nhiễm màu sậm quá mà buồng tủy không lớn quá so với mô răng còn lại.
- Răng mất men quá nhiều.
- Răng sâu lớn có miếng trám to hay phải lấy tủy do bệnh lý thì nên làm mão sứ để bảo vệ và nâng đỡ mô răng không bị bể do lực nhai.
- Răng xoay lệch nhiều.
 boc răng sứ
Vật liệu sứ ngày nay đã đạt được mức hoàn hảo cả về chức năng sử dụng và thẩm mỹ – Ảnh: internet
Mão sứ giải quyết tốt các trường hợp trên, đặc biệt răng quá sậm màu, dễ thực hiện để sửa chữa những khiếm khuyết lớn nhưng dễ viêm nướu do khó thực hiện chính xác đường hoàn tất dưới viền nướu.

Thứ Sáu, 22 tháng 8, 2014

Có nên làm răng sứ thay răng thật?

Răng thật dù không được hoàn hảo về thẩm mỹ nhưng về khía cạnh sinh học thì vẫn tốt. Vì vậy, cả bác sĩ và người muốn làm răng sứ đều phải trả lời được câu hỏi: Có nên làm răng sứ thay răng thật của mình hay không? Nếu có thì làm như thế nào?Boc rang su tham my o dau tot
 răng sứ
Các nhà nghiên cứu nha khoa đã đạt được những thành tựu và đưa ra những công nghệ kỹ thuật mới nhằm mang đến cho ngành nha những sản phẩm có hiệu quả sử dụng. Vật liệu sứ ngày nay đã đạt được mức hoàn hảo cả về chức năng sử dụng và thẩm mỹ, người ta đã sử dụng loại vật liệu sứ mà không cần sườn kim loại bên trong (sứ không kim loại) vừa có độ bền cứng lại vừa có tính tương hợp sinh học cao, tính chất này giúp cho mô quanh răng không bị viêm, tính thẩm mỹ được duy trì và ngày càng tiến sát tới ranh giới như răng thật.
Tuy nhiên, để áp dụng thành công những thành tựu đó, bác sĩ nha khoa phải có chuyên môn cao, có tình yêu và lương tâm nghề nghiệp. Vì vậy, để chỉ định làm răng sứ, trước tiên, bác sĩ phải khám kỹ khớp nhai, mô nướu và xương, chụp phim kiểm tra tủy răng, nhất là độ lớn của tủy răng so với mô răng để quyết định xem sẽ làm răng sứ loại nào (mão sứ toàn diện hay veneer sứ) để bảo vệ tủy mà vẫn đạt được thẩm mỹ. Bởi vì phải thật cân nhắc giữa thẩm mỹ và tuổi thọ của răng mà bác sĩ sẽ cho chỉ định.

Cách giữ gìn răng sứ như thế nào?

Cách giữ gìn răng sứ như thế nào? Boc rang su tham my o dau tot - Sứ là vật liệu có tính chất cứng hơn men răng tự nhiên, tuy nhiên nếu nhai nhằm thức ăn hay vật quá cứng như càng cua, sạn,… răng sứ vẫn có thể bị mẻ.
- Xung quanh chân răng của răng sứ vẫn có thể đọng thức ăn và tạo vôi nên vẫn vệ sinh cạo vôi răng 3 – 6 tháng/lần .
- Răng sứ đúng tiêu chuẩn sẽ không bị đổi màu và không thể tẩy trắng như răng tự nhiên. (Vì vậy khi làm răng sứ phía trước cần cân nhắc xem có cần làm trắng các răng còn lại trước khi làm răng sứ không, vì sau khi làm răng sứ mới tẩy trắng thì màu răng thật sẽ khác với màu răng sứ).
Vệ sinh răng sứ như răng thật

Răng sứ Cercon – Dentsply

Boc rang su tham my o dau tot  Răng sứ Cercon – Dentsply có tốt không? được phát triển và cải tiến không cần phải mất quá nhiều thời gian điều trị , mà yếu tố thẩm mỹ có thể mang lại thành công cao, nên ngày càng được nhiều bệnh nhân yên tâm tin tưởng, lựa chọn.
Với  kinh nghiệm nhiều năm của Bác sĩ tạị nha khoa Đại Việt , các trường hợp được phục hình thẩm mỹ bằng giải pháp răng sứ cercon ,trong quá trình thực hiện các bác sĩ sẽ  kiểm soát hoàn toàn cả về hình dáng lẫn màu sắc, tạo sự thẩm mỹ cao cho hàm răng thật tự nhiên,  vì vậy bạn hoàn toàn có thể yên tâm để thay đổi cho răng mình đẹp hơn với nụ cười thật hoàn hảo và tự tin.
Để có thể hiểu được một cách cụ thể của từng trường hợp, bạn nên đến trực tiếp nha khoa Đại Việt ,Bác sĩ sẽ thăm khám và lên kế hoạch điều trị chính xác về cách phục hình cũng như thời gian và chi phí phù hợp.

Ưu điểm của làm răng sứ thẩm mỹ

Boc rang su tham my o dau tot Ưu điểm của làm răng sứ thẩm mỹ là gì? Tính tương hợp cao với mô mềm trong miệng, không gây các phản ứng, dị ứng. Đề kháng cao với sự tạo mảng bám trên bề mặt răng giúp răng luôn sạch bóng. Không tương tác với các vật liệu khác trong miệng và khả năng cách ly nóng lạnh tốt trong môi trường miệng.
Có đặc tính quang học như răng tự nhiên ở mọi điều kiện ánh sáng khác nhau nên tạo độ thẩm mỹ hoàn hảo.
Công nghệ sản xuất cho phép các phục hình mão răng đạt độ khít sát cao đến 50,7 micron và độ cứng cao để có thể chỉ định cho các trường hợp mất răng răng trước và răng sau dài đến 47mm tương ứng với cầu răng dài từ 6-8 đơn vị.
Bảng giá trên chỉ mang tính chất tham khảo, vui lòng cập nhập thông tin giá mới nhất tại đây

Đặc tính công nghệ răng sứ không kim loại thế hệ mới Cercon – Dentsply



Răng sứ có chỉ định trong những trường hợp mất răng, hay răng bị sâu, vỡ lớn, răng nhiễm tetracycline, mọc lệch lạc, răng thưa , hô ….Boc rang su tham my o dau tot  Đặc biệt răng sứ được làm với chất liệu hoàn toàn vô hại trong môi trường miệng nên thích nghi với tất cả mọi người kể cả người bị tim mạch, huyết áp, tiểu đường.
 Boc rang su tham my o dau tot
Đặc tính công nghệ răng sứ không kim loại thế hệ mới Cercon – Dentsply :
- Tính thẩm mỹ cao: hình dạng, màu sắc độ trong mờ và độ phát huỳnh quang giống như răng thật.
- Tương hợp sinh học tuyệt vời, tạo sự thoải mái không bị nhạy cảm khó chịu với thức ăn, đồ uống nóng, lạnh.
- Độ bền cứng chắc, khả năng chịu lực nhai lớn, kháng nứt gãy tốt.
- Chất lượng cao với hệ thống tự đông bằng phần mềm vi tính CAD/CAM được phát triển và chế tạo tại Đức, đảm bảo tính chính xác hoàn hảo với chất lượng cao nhất.

- Sau khi điều trị được cấp thẻ bảo hành chính hãng Dentsply (Đức).

Răng sâu có nên bọc răng sứ không?

Răng sâu có nên bọc răng sứ không? Boc rang su tham my o dau tot  hay chúng ta chỉ trám lại chỗ sâu? Bác sĩ nha khoa thường khuyên nên bọc răng sứ cho răng sâu để bảo vệ răng và răng sẽ có tính thẩm mỹ cao.

Trám răng không phải là phương pháp tốt nhất để chấm dứt sâu răng. Trám lỗ sâu chỉ là tạm thời làm ngưng sâu răng, nếu không vệ sinh răng miệng sạch sẽ thì sâu răng sẽ tái phát. Mặt khác, chất trám không thể thay thế được men và ngà răng nên rất dễ bể, dễ sút khi bệnh nhân có thói quen ăn nhai với thức ăn quá cứng.

Cho nên bác sĩ điều trị thường khuyên bệnh nhân nên bọc răng sứ bên ngoài răng sâu tăng độ bền chắc và tăng tính thẩm mỹ cho hàm răng.

Nguyên nhân nữa là do sau khi lấy tủy, răng giòn hơn và dễ bị gãy vỡ hơn nên các bác sĩ khuyên bệnh nhân bọc răng lại để bảo vệ răng sâu khỏi sự tấn công của vi khuẩn, nhiệt độ, hóa chất, kéo dài tuổi thọ của răng. Tuy nhiên, không phải sau khi bọc răng là bạn có thể thoải mái nhai đồ ăn cứng, nhai xương, ăn thức ăn nóng hoặc lạnh mà phải có chế độ chăm sóc răng hợp lý để bảo vệ răng sứ đã bọc.

Trường hợp khác, răng sâu đã lấy tủy và trám lại nhưng vết trám bị bong ra, răng bị vỡ, nên phần mô răng còn lại quá yếu, không thể giữ được miếng trám do đó có trám lại thì nó cũng rất dễ bị bong ra vì vậy cách tốt nhất là nếu người bệnh có điều kiện thì nên bọc răng sứ để bảo vệ cả răng và miếng trám.

Chủ Nhật, 17 tháng 8, 2014

giải pháp hoàn hảo cho răng thẩm mỹ: Răng sứ Cercon

Boc rang su tham my o dau tot  Răng sứ Cercon có tốt không? Cercon là sứ không kim loại gồm có lớp sườn bên trong là Zirconia và lớp sứ bên ngoài là sứ Cercon Kiss, vì thế ở một số nước trên thế giới gọi là sứ kép.

Những ưu điểm nổi bật của răng sứ Cercon :

1. Tính quang học : khi ánh sáng chiếu vào thì nhìn như răng thật còn sứ kim loại thì nhìn thấy màu đen của kim loại, điều này sẽ thấy rõ khi bạn bước vào môi trường có nhiều ánh sáng như ở các bar, nhà hàng, quán cafe…

2. Tính thẩm mỹ: răng sứ Cercon là sứ kép nên không tạo ra màu đen ở viền nướu như sứ kim loại và và đồng thời nó có màu sắc tự nhiên và sáng hơn so với các loại răng sứ khác.

3. Răng sứ Cercon không gây ra phản ứng phụ hóa học và dị ứng nướu răng nên bệnh nhân không bị viêm nướu kéo dài như sứ kim loại.

4. Tính chính xác: đây là một trong những thế hệ răng sứ mới nhất và hiện đại nhất hiện nay trên thế giới. Toàn bộ quá trình thiết kế sườn răng sứ cho mỗi bệnh nhân (CAD – Computer Aided Design) – sản xuất (CAM – Computer Aided Manufacture) đều thực hiện hoàn toàn tự động dưới sự hỗ trợ của máy tính nên tính chính xác rất cao cho từng bệnh nhân.

Nếu bạn có thể tìm thấy giá dịch vụ ở đâu tốt hơn với chất lượng cao hơn chúng tôi sẽ cung cấp cho bạn giá đúng như thế. Và nếu chất lượng dịch vụ không như cam kết trong hợp đồng, chúng tôi sẽ hoàn lại 100% chi phí cho bạn!

Làm răng sứ tại nha khoa uy tín

Làm răng sứ là giải pháp được nhiều người lựa chọn nhất khi muốn thực hiện “cải tạo” lại sức bền và vẻ đẹp của 1 răng, một số răng hoặc toàn hàm.Boc rang su tham my o dau tot ? Đây là câu hỏi mà không ít khách hàng thắc mắc khi có ý định bọc răng sứ thẩm mỹ.
Ngày nay làm răng sứ đã trở thành trào lưu phổ biến rộng rãi cho hầu hết các ngôi sao điện ảnh, ngôi sao truyền hình , siêu mẫu của các nươc phát triển như Hàn quốc, Nhật, . . . đã tận dụng triệt để công nghệ này để có được hàm răng đẹp đem lại sự tự tin và thành công trong cuộc sống . Răng sứ thẩm mỹ không kim loại hay răng toàn sứ là sự thay thế tất yếu cho thế hệ "sứ kim loại " vì những ưu điểm mà nó mang lại như : Thẩm mĩ tuyệt đối như răng thật ko đổi màu ,bền bỉ lâu dài khi sử dụng, tương hợp sinh học tốt nhất , công nghệ vượt trội. . . Màu trong suốt giống răng thật (rất khó để phân biệt ) vì sườn sứ ko phải che màu nên nhìn có độ trong suốt như men răng. Đặc biệt ko bao giờ đổi màu.

Tại sao phải làm răng sứ ?

Boc rang su tham my o dau tot Tại sao phải làm răng sứ ? Vì đối với một số trường hợp răng sâu, bể quá lớn, nếu trám thông thường sẽ dễ bị sút miếng trám, răng bị thưa, lêch lạc thì răng sứ chính là giải pháp giúp giải quyết vấn đề thẩm mỹ và chức năng ăn nhai của bạn.
Đối với một chiếc răng sứ thì lớp sườn đúc (lớp bên trong) rất quan trọng nếu không khít sát với cùi răng thì qua quá trình ăn nhai, răng sứ có thể bị sút ra. Đồng thời răng bên trong có thể bị sâu do đọng thức ăn và bị ê buốt do nước, thức ăn lọt vào, lâu ngày sẽ gây chết tủy vì rất khó phát hiện kiểu sâu răng này. Vì vậy khi làm răng sứ buộc phải có giai đoạn thử sườn để kiểm tra độ khít sát này.

Răng sứ ở đâu tốt nhỉ mọi người

Boc rang su tham my o dau tot  Răng sứ là giải pháp phục hình răng phổ biến nhất giải quyết các trường hợp răng bị mất, sứt mẻ, mọc lêch lạc, mọc thưa hay bị nhiễm tetracycline... ảnh hưởng tới thẩm mỹ nụ cười của bạn khiến bạn mất đi sự tự tin trong giao tiếp cũng như ảnh hưởng nhiều tới khả năng an nhai của bạn. Mỗi ca điều trị phục hình răng sứ tại nha khoa Quốc tế Tâm An điều thông qua một quy trình đặc biệt để đạt được kết quả thẩm mỹ cao nhất sau điều trị.

Giới thiệu răng sứ:

Răng sứ được cấu tạo thông thường bởi 2 lớp : Lớp bên trong (còn gọi la sườn) ôm sát cùi răng được làm bằng các nguyên liệu khác nhau (Titan, kim loại cao cấp, sứ Zirconia), lớp bên ngoài được phủ bằng sứ tạo nên vẻ đẹp thẩm mỹ cho hàm răng.

Thứ Bảy, 16 tháng 8, 2014

Có nên bọc răng sứ cho răng sâu

Khi bệnh nhân đến các trung tâm phòng khám nha khoa, các bác sĩ sẽ trám lại răng sâu bằng cách dùng vật liêu trám như composite, bạc để bịt kín lỗ sâu răng, ngăn không cho vi khuẩn, nhiệt độ, hóa chất tấn công răng. Phương pháp trám không làm bệnh nhân đau đớn và an toàn cho sức khỏe.Boc rang su tham my o dau tot 


Trám răng không phải là phương pháp hữu hiệu để chấm dứt sâu răng. Trám lỗ sâu chỉ là tạm thời làm ngưng sâu răng, nếu không vệ sinh răng miệng sạch sẽ thì sâu răng sẽ tái phát. Mặt khác, chất trám không thể thay thế được men và ngà răng nên rất dễ bể, dễ sút khi bệnh nhân có thói quen ăn nhai với thức ăn quá cứng.


Vì thế, người bệnh thường được khuyên bọc răng sứ bên ngoài răng sâu tăng độ bền chắc và tăng tính thẩm mỹ cho hàm răng.


Nguyên nhân do sau khi lấy tủy, răng giòn hơn và dễ bị gãy vỡ hơn nên các bác sĩ thường khuyên người bệnh bọc răng lại để bảo vệ răng sâu khỏi sự tấn công của vi khuẩn, nhiệt độ, hóa chất, kéo dài tuổi thọ của răng. Tuy nhiên, không phải sau khi bọc răng là bạn có thể thoải mái nhai đồ ăn cứng, nhai xương, ăn thức ăn nóng hoặc lạnh mà phải có chế độ chăm sóc răng hợp lý để bảo vệ răng sứ đã bọc.

Có cần phải lấy tuỷ khi bọc răng sứ không?

Có cần phải lấy tuỷ khi bọc răng sứ không?Boc rang su tham my o dau tot 
Men răng:
Là một lớp rất cứng bao bọc bên ngoài răng. Lớp men răng dày khoảng 1-2 mm trơn láng, màu sáng, hơi trong và là mô cứng nhất cơ thể. Men răng góp phần vào việc tạo màu răng và là thành phần chịu lực quan trọng trong chức năng ăn nhai.
Ngà răng:
Là một lớp cứng, nằm dưới lớp men, dày, tạo nên hình dạng chủ yếu của răng. Trong ngà răng có rất nhiều ống ngà rất nhỏ chứa đựng các tế bào ngà, tạo cảm giác cho răng khi ăn những thực phẩm nóng lạnh chua ngọt.
Tuỷ răng:
Là phần trung tâm của răng, và là một mô sống, vì nó chứa đựng các mạch máu nuôi dưới răng và thần kinh cảm giác cho răng. Tuỷ răng gồm có hai phần là tuỷ thân răng (buồng tuỷ) và tuỷ chân răng.
Chóp chân răng:
Là phần tận cùng của chân răng, nơi các mạch máu và thần kinh đi vào từ vùng xương quanh chóp và đi ra khỏi tuỷ răng. Đây là phần phát triển hoàn tất sau cùng của một răng. Đây cũng là nơi nhiễm trùng khởi phát khi răng bị tổn thương tạo các abces quanh chóp.
Hố rãnh:
Là những vùng cấu tạo hình các hố rãnh dạng chữ V. Trên mặt nhai của các răng, nhất là các răng sau. Vùng hố rãnh tạo ra sự ăn khớp tốt giữa hai hàm giúp tăng hiệu quả nhai. Nhưng đây cũng là nơi dễ gây nhồi nhét thức ăn và có nguy cơ sâu răng cao.
Xương:
Chân răng nằm trong xương hàm và được gắn vào xương bởi hệ thống các dây chằng nha chu.
Dây chằng nha chu:
Có nhiệm vụ giữ răng nằm đúng vị trí trong xương. Dây chằng nha chu được cấu tạo bởi rất nhiều sợi nhỏ đan xen nhau, đi từ răng đến vùng xương ổ răng xung quanh chân răng. Vùng dây chằng nha chu này rất có nguy cơ bị phá hủy trong các bệnh lý nha chu và dẫn đến hậu quả là tiêu xương và lung lay răng.
Nướu:
Là phần mô mềm bao bọc quanh xương ổ răng. Nướu khỏe mạnh màu hồng cam, săn chắc và khi nướu viêm sẽ đỏ, bở, dễ chảy máu khi chải răng.

Làm răng sứ có mất nhiều thời gian không?

Thời gian bọc răng sứ phụ thuộc vào tình trang bệnh nhân và số lượng răng cần bọc sứ. Nên không thể ấn định thời gian được.
Người bị bệnh tăng huyết áp, đái tháo đường, tim mạch,… bọc răng sứ được không? Boc rang su tham my o dau tot 
- Chất liệu sứ vô hại trong môi trường miệng của bệnh nhân. Với người có các bệnh lý nói trên đều có thể làm răng sứ, không có chống chỉ định tuyệt đối. Tuy nhiên, một số người bị bệnh tim hay hồi hộp lúc mài răng do đau có thể ảnh hưởng đến tim mạch, bác sĩ sẽ dùng thuốc giảm đau, thuốc tê một cách cẩn trọng.
- Chỉ với những người bị bệnh máu chảy lâu đông có thể nguy hiểm vì khi bác sĩ mài răng có thể bị chạm vào nướu răng làm chảy máu kéo dài. Tuy nhiên, trường hợp này rất hiếm gặp.

Bọc răng sứ ở đâu tốt nhất Hà Nội ?

 Boc rang su tham my o dau tot?
Nha khoa Châu  Thành  chúng tôi là  Phong kham nha khoa tot nhat tai ha noi và hội tụ nhiều điều kiện thuận lợi để chăm sóc răng miệng cho bệnh nhân được tốt nhất:
- Luôn cập nhật các phương pháp điều trị răng mới nhất.
- Hệ thống máy móc và trang thiết bị hiện đại, nhập trực tiếp của Châu Âu, đạt tiêu chuẩn quốc tế về an toàn, kỹ thuật.
- Chi phí hợp lý nha khoa
- Nằm tại vị trí trung tâm thuận tiện cho khách hàng đến khám.
- Không gian phòng khám rộng rãi, thoáng mát, sạch sẽ.
- Phong cách phục vụ chuyên nghiệp, thân thiện và nhiệt tình.

Răng chết tủy có bọc răng sứ được không ?

Răng chết tủy có bọc răng sứ được không ?  Boc rang su tham my o dau tot ? Khi răng bị chết tuỷ, vì không còn được máu nuôi dưỡng trực tiếp, răng trở nên rất giòn, dễ vỡ và tuổi thọ thấp. 

 boc-rang-su-tham-my

Vì vậy, để tăng độ bền của răng, chúng ta phải bảo vệ nó bằng một lớp răng sứ ở bên ngoài – tức là bọc sứ. Mài nhỏ răng bị chết tủy đi để bọc sứ lại là một phương pháp thực hiện đúng đắn và tiết kiệm chi phí tại nha khoa
Bọc răng sứ có thể gặp tai biến gì không ?Boc rang su tham my o dau tot 
Bọc răng sứ có thể bị một số tai biến: tủy răng không được xử lý tốt trước khi làm răng sứ. Thay vì bệnh nhân cần được lấy tủy nhưng bác sĩ không lấy, cứ thế chụp răng sứ lên, khiến bệnh nhân bị ê buốt, có khi làm rò mủ ở vùng xương hàm.
Có bệnh nhân làm răng sứ xong khi nhai bị vướng, cộm, đau khớp thái dương hàm do người làm điều chỉnh khớp cắn không tốt. Có người bị nha chu nhưng người làm vẫn phục hình răng sứ trên đó, khiến bệnh nha chu tiếp tục phát triển dẫn đến hai trụ cầu răng bị lung lay. Về lâu dài, bệnh nhân có thể mất thêm hai chiếc răng thật hai bên.
Không ít trường hợp bị tình trạng mão sứ không khít sát với cùi răng đã mài để ôm vừa đúng đường viền nướu, hoặc dưới đường viền nướu nên không đạt yêu cầu thẩm mỹ, dễ bị sâu răng tái phát, hoặc gây hôi miệng do thức ăn bám đọng vào những khe giữa đường cổ răng của mão sứ với đường cổ răng thật của bệnh nhân.
Vì vậy để tránh những tai biến nêu trên các bạn nên tìm đến trung tâm nha khoa uy tín vì ở đó có đội ngũ bác sĩ nha khoa nhiều kinh nghiệm và trang thiết bị hiện đại để giúp các bạn làm răng sứ thẩm mỹ an toàn hơn.

Phục hình răng với sứ Cercon – Zirconia

 Boc rang su tham my o dau tot răng sứ Cercon – Zirconia có phải là một giải phaps tốt cho răng? Với lớp men mềm tương tự như men răng thật, không mài mòn răng thật đối diện,và có đặc tính quang học như răng tự nhiên, tính thẩm mỹ cao, trong khi giao tiếp người đối diện cũng không thể phát hiện ra , giúp nụ cười của bạn tự tin và duyên dáng hơn.
 boc-rang-su-tham-my

Theo sự chia sẻ thực tế một số bệnh nhân đã điều trị thẩm mỹ răng sứ tại nha khoa Đại Việt, thì vấn đề làm cho bệnh nhân lo lắng quan tâm nhiều : “ Bác sĩ có đủ kinh nghiệm để thực hiện một cách chính xác mà đảm bảo an toàn về sau? Và làm sao để tin tưởng độ chất lượng cái răng mà mình sẽ mang suốt đời ?”

Răng sứ phục hình giúp tái tại răng?

 Boc rang su tham my o dau tot ? Răng sứ là dạng phục hình giúp tái tạo lại răng nhằm bảo vệ hoặc khôi phục lại hình dáng màu sắc của răng. Răng sứ có lớp sườn bên trong bọc kín thân răng và bên ngoài thì được bao bọc nhiều lớp sứ tạo nên hàm răng đều mang nét tự nhiên.
 răng sứ thẩm mỹ
Răng sứ có chỉ định : trong những trường hợp mất răng, hay răng bị sâu,vỡ lớn, răng nhiễm màu, mọc lệch lạc …. Đặc biệt răng sứ được làm với chất liệu hoàn toàn vô hại trong môi trường miệng nên thích nghi với tất cả mọi người kể cả người bị tim mạch, huyết áp, tiểu đường…

Hiện nay đã có hai loại răng sứ được sử dụng phổ biến : răng sứ có sườn kim loại và răng sứ có sườn không kim loại .Trong đó sứ không kim loại đạt được độ bền và tính thẩm mỹ lâu dài.

Công nghệ răng sứ không kim loại thế hệ mới Cercon – Zirconia được sử dụng bằng phần mềm vi tính CAD/CAM(CAD – Computer Aided Design) – sản xuất (CAM – Computer Aided Manufacture) đều thực hiện hoàn toàn tự động dưới sự hỗ trợ của máy tính nên tính chính xác rất cao cho từng bệnh nhân, có độ bền cứng khả năng chịu lực nhai tốt, cải thiện màu sắc, hình dáng và đặc biệt là rất khít sát với nướu răng giúp răng không hở kẻ và tránh nhét thức ăn gây hôi miệng.

Thứ Sáu, 8 tháng 8, 2014

Răng giả cố định các loại: Mão, Cầu Răng Sứ Kim Loại, Toàn Sứ, Sứ Quý Kim Loại

Răng Giả Cố Định là các loại răng giả được gắn cố định vào miệng - hàm người mang. Mão Răng (crown, chụp răng,...) là gì? Boc rang su tham my o dau tot  ?Khi một cái răng bị nứt, hoặc có miếng trám lớn bị cũ đi, hoặc bị sâu răng nặng, thì nha sĩ có thể đề nghị việc chụp răng, tức là đặt mão răng.

Việc chụp răng củng cố và bảo vệ cơ cấu răng còn lại và có thể làm cho nụ cười đẹp hơn. Có một số loại mão răng khác nhau, bao gồm: mão sứ, mão hỗn hợp giữa sứ và kim loại và mão kim loại.

Việc chụp răng đòi hỏi phải đến nha sĩ ít nhất là hai lần. Trước hết, nha sĩ sẽ:

Cạo ra phần bị sâu và mài răng để có hình dạng như ý muốn.
răng sứ
- Lấy dấu răng để làm mẫu khuôn. 
răng sứ
- Ðúc và lắp đặt vào miệng một cái mão tạm thời bằng plastic hoặc kim loại. 
răng sứ thẩm mỹ

Chăm sóc sau bọc răng thẩm mỹ

  Sau bọc răng thẩm mỹ, quan trọng nhất là việc tránh để răng tiếp xúc với nhiệt độ cao nóng lạnh và đồ cứng. Mấy ngày đầu sau bọc răng nên ăn những thức ăn mềm và nguội để bảo vệ tủy không bị kích ứng. Sau một tuần mà vẫn thấy đau nhức cần đến bác sĩ khám lại.
 boc-rang-su-tham-my-o-dau-tot

 -Tiếp theo chú ý vệ sinh răng miện thật sạch sẽ và đúng cách theo chỉ dẫn của nha sĩ như chải răng đúng cách, dùng chỉ nha khoa, dùng nước xúc miệng chuyên dụng. Việc lấy cao răng theo định kỳ là càng cần thiết khi thực hiện Boc rang su tham my o dau tot 
 Thường xuyên chăm sóc và massage lợi cho vùng răng bọc để máu lưu thông tốt nuôi dưỡng răng tốt hơn và làm lợi săn lại. Bạn có thể dùng lưỡi của mình để massae cho lợi.

Bảo vệ răng sau bọc răng thẩm mỹ

Bảo vệ răng sau bọc răng thẩm mỹ là một việc quan trọng để bảo vệ sức khỏe răng miệng cho bạn, tránh để răng mắc phải một số vấn đề về răng miệng liên quan.


 bao ve rang sau boc rang tham my2 Bảo vệ răng sau bọc răng thẩm mỹ


Boc rang su tham my o dau tot bằng composite là một phương pháp làm đẹp răng mới đang thịnh hành hiện nay. Đây được cho là một phương pháp mới tiên tiến hơn so với các phương pháp bọc răng sứ thông thường. Composite là một chất liệu tổng hợp được dùng phổ biến trong nha khoa thẩm mỹ.

Thứ Năm, 7 tháng 8, 2014

ĐỊA CHỈ THẨM MỸ RĂNG SỨ CAO CẤP

Trong nha khoa không phải vật liệu nào có thể cùng một lúc đáp ứng yêu cầu thẩm mỹ và độ bền cho phục hình răng.Boc rang su tham my o dau tot  

 boc rang su tham my o dau tot

Cho đến nay hai vật liệu thường được kết hợp sử dụng để chỉnh nha, làm phục hình cầu và mão răng là kim loại (để làm khung sườn bên trong giúp phục hình cứng chắc) và sứ (phủ bên ngoài để tạo thẩm mỹ). Toàn sứ là loại vật liệu sứ mới có nhiều đặc tính quang học ưu việc để đáp ứng những yêu cầu cao hơn về thẩm mỹ, Một loại vật liệu công nghệ cao là Zirconium Oxide, với đặc tính cứng chắc và tương hợp sinh học đã được sử dụng rộng rãi trong những ngành công nghệ kỹ thuật cao (như chế tạo vỏ phi thuyển, thắng đĩa trong xe đua) và y tế (khớp hông nhân tạo). Tại sao nên lựa chọn phục hình thẩm mỹ răng sứ tại Nha khoa Quốc tế Việt Đức? Là một trong những Trung tâm Nha khoa hiện đại bậc nhất tại Miền Bắc, được trang bị hệ thống máy móc đồng bộ, tiên tiến, hỗ trợ tối ưu nhất trong việc phục hình răng sứ.
Một trong số đó chính là công nghệ CAD/CAM. Với công nghệ này, Trung tâm có thể đáp ứng nhu cầu thẩm mỹ cao nhất cho mọi khách hàng, đồng thời rút ngắn tối đa thời gian điều trị, có thể cho bạn một hàm răng đều, đẹp, tự nhiên như răng thật chỉ trong 1 ngày.

Bọc răng sứ có gây ra biến chứng nào không?

Bọc răng sứ có gây ra biến chứng nào không?

Bạn cần cân nhắc thật kỹ  trước khi bọc răng sứ vì nếu nha sỹ thực hiện không cẩn thận, bạn sẽ rất dễ dàng mắc các bệnh răng miệng kèm theo những tai biến do chúng gây ra.
 boc-rang-su-tham-my

Phương pháp bọc răng sứ thẩm mỹ đòi hỏi trình độ chuyên môn cao ở nha sĩ thực hiện. Trước khi bọc răng sứ, nha sĩ cần phải lấy tuỷ răng và mài lớp men răng bên ngoài. Muốn có độ mài thích hợp, nha sĩ cần phải phân biệt được độ dày và chủng loại của lớp men răng cũ. Nếu mài quá sâu sẽ dễ gây ra viêm tủy răng, dẫn đến nhiều tai biến khác. Trường hợp nhẹ thì chỉ bị viêm, sưng nứu. Nặng sẽ làm hư chân răng, viêm xương khiến bệnh nhân phải nhổ răng hoặc bị nhiễm trùng máu...

Do đó bạn nên đến những trung tâm Boc rang su tham my o dau tot  để bọc răng sứ thẩm mỹ. 

Cách thức bọc răng sứ thẩm mỹ
Chăm sóc răng miệng sau khi bọc răng sứ thẩm mỹ:

- Bọc răng sứ nếu chưa qua diệt tủy, những ngày đầu nên kiêng ăn thức ăn quá nóng hoặc quá lạnh, đồ quá cứng, dai… để tránh tuỷ răng bị kích ứng. Sau 4-5 ngày, nếu tình trạng đau nhức vẫn kéo dài cần đến nơi đã bọc răng sứ cho bạn để được kiểm tra và điều trị.

- Muốn răng bọc sứ chắc, bền, bạn cần vệ sinh răng miệng từ 2 -3 lần mỗi ngày, chọn bàn chải phù hợp và lấy vôi răng định kỳ một năm 2 lần.

Những trường hợp có thể bọc răng sứ thẩm mỹ

 Răng chết tủy: Khi răng không được tủy nuôi dưỡng sẽ mất dần đi độ đàn hồi cần thiết, khiến chúng giòn và dễ gãy hơn những chiếc răng còn tủy sống. Bọc răng sứ giúp răng chết tuỷ được bảo vệ tránh khỏi tình trạng nứt gãy.
 boc-rang-su-tham-my

- Sâu răng quá lớn, nếu trám răng thông thường sẽ rất dễ bị sứt miếng trám.

- Mất một hoặc nhiều răng


-  Răng bị dị dạng, mọc lệch, chen chúc; răng hô, móm, răng thưa…: việc bọc răng sứ sẽ tái tạo lại hình dáng đều đặn cho răng.

-  Răng bị ố vàng, nhiễm màu nhưng không thích ứng với thuốc tẩy trắng, bọc răng sứ sẽ giúp thay thế lớp men răng xỉn màu cũ kỹ bằng lớp sứ mới trắng hơn.

Boc rang su tham my o dau tot ?

Bọc răng sứ thẩm mỹ dùng loại sứ nào cũng đều tốt. Tùy theo cơ địa, nhu cầu thẩm mỹ  và khả năng tài chính…của bạn, nha sĩ sẽ tư vấn giúp bạn chọn lựa mẫu răng thích hợp nhất cho bạn.


Thời gian bọc răng sứ là bao lâu ?

Thời gian bọc răng sứ phụ thuộc vào tình trạng sức khỏe bệnh nhân và số lượng răng cần bọc sứ. Do đó không thể ấn định mức thời gian được.

bọc răng sứ thâm mỹ ở nha khoa uy tín HN

bọc răng sứ thâm mỹ ở nha khoa uy tín HN  có thể giải quyết các bệnh về răng giúp mang lại nụ cười tự nhiên cho bạn ví dụ như các trường hợp như sâu răng, hô, thưa..

1. Đối với răng thưa
Phương pháp trám răng thẩm mỹ có thể hồi phục lại vẻ thẩm mỹ tương đối cho hai răng cửa bị thưa của bạn. Tuy nhiên, phương pháp này chỉ mang tính chất tạm thời, ví nó tồn tại một số nhược điểm đáng kể: Màu sắc của chất trám chỉ giữ được một thời gian khoảng 2-5 năm, sau đó màu composite sẽ bị đổi thành sậm hơn, nâu hơn, đục hơn men răng. Đến giai đoạn này, cháu sẽ phải trám lại miếng trám khác tại phòng khám nha khoa uy tín hà nội
Phương pháp bọc mão răng sứ sẽ khắc phục toàn bộ những nhược điểm trên, mang lại tính bền vững cả về chức năng ăn nhai và vẻ thẩm mỹ cho răng điều trị. Bạn cũng có thể áp dụng phương pháp cầu răng sứ để trồng lại đơn vị răng bị mất. Hai răng bên cạnh (răng khểnh và răng hàm) sẽ được sử dụng để làm trụ cho răng sứ thẩm mỹ

2. Đối với răng hô
Trong điều trị nha khoa, cần phân biệt hô răng và hô xương. Nếu quan sát không kỹ rất dễ nhầm lẫn giữa hai trường hợp này.
Hô răng tức là răng hàm trên mọc hướng ra ngoài. Nếu tính từ chân răng đến cạnh cắn của răng so với một đường thẳng đứng (tưởng tượng), sẽ có một góc khoảng từ 30 đến 45 độ
Hô xương là toàn bộ phần xương hàm trên hướng ra ngoài, nếu so với một đường thẳng đứng cũng có một góc nghiêng khá lớn.
Bọc răng sứ hoặc chỉnh nha là phương pháp can thiệp, chỉnh sửa trên bản thân chiếc răng cần điều trị. Trong trường hợp hô răng thì một trong hai phương pháp này sẽ đem lại được hàm răng đẹp cho bệnh nhân. Còn trong trường hợp hô xương thì hai phương pháp này hoàn toàn không có tác dụng.
Vì vậy, đối với trường hợp hô xương như của bạn, cần phải áp dụng thêm phương pháp điều trị mài vạt xương hàm, viền xương ổ răng để cải thiện tình trạng xương bị hô.

Chủ Nhật, 3 tháng 8, 2014

giải pháp cho răng bị mất

Răng bạn bị mất quá nhiều? bạn muốn bọc răng sứ để cải thiện cho hàm răng của mình nhưng không biết Boc rang su tham my o dau tot 
ùy vào từng trường hợp cụ thể, bác sĩ sẽ chỉ định cho bạn làm răng sứ loại mão sứ toàn diện hay veneer sứ. Những trường hợp nên làm mão sứ, gồm:
- Răng nhiễm màu sậm quá mà buồng tủy không lớn quá so với mô răng còn lại.
- Răng mất men quá nhiều.
- Răng sâu lớn có miếng trám to hay phải lấy tủy do bệnh lý thì nên làm mão sứ để bảo vệ và nâng đỡ mô răng không bị bể do lực nhai.
- Răng xoay lệch nhiều.
Mão sứ giải quyết tốt các trường hợp trên, đặc biệt răng quá sậm màu, dễ thực hiện để sửa chữa những khiếm khuyết lớn nhưng dễ viêm nướu do khó thực hiện chính xác đường hoàn tất dưới viền nướu.
Những trường hợp nên làm veneer sứ, gồm: răng bị nhiễm màu ít, răng rỗ, răng nứt nhẹ, răng bị thưa. Làm veneer sứ có những chỉ định rất nghiêm ngặt, bác sĩ phải thật cân nhắc mới đạt được hiệu quả về thẩm mỹ và tuổi thọ của răng vì kỹ thuật này rất khó làm.
Làm đúng lời dặn của bác sĩ
Tuổi thọ của răng còn phụ thuộc vào những yếu tố khác như nướu răng và xương xung quanh, nên khi mài răng phải bảo đảm không làm tổn thương mô nướu và xương ổ răng.
Nếu mô nướu và xương ổ răng bị tổn thương thì sau khi gắn răng sứ, mô nướu sẽ bị viêm.

Do đó, khi quyết định làm răng sứ cho bệnh nhân, bác sĩ phải khám thật tỉ mỉ để cho một kế hoạch tối ưu và kỹ thuật phải chính xác, sao cho giữa mô răng và mô sứ có độ khít sát cao, không bị nhét thức ăn gây sâu răng.

Nguyên vật liệu làm răng sứ có tốt không

Hiện giờ trên thị trường có vô số nguyên vật liệu sứ khác nhau với chất lượng khác nhau do có nhiều nhà sản xuất, cung ứng. Các loại sứ đó có nguồn gốc từ các nước công nghệ cao như Đức, Mỹ, Nhật… với chất lượng tốt, trong đó có sứ không kim loại làm bằng sườn zirconia – một chất liệu cứng như thép tôi vậy Boc rang su tham my o dau tot 
Hơn nữa, những năm gần đây xuất hiện một số loại vật liệu sứ có xuất xứ từ Trung Quốc nhập vào Việt Nam, nguyên liệu sứ này giá rẻ hơn, không cứng chắc như sứ của những hãng có uy tín trên thế giới.
bọc răng sứ thẩm mỹ
Răng toàn sứ
 boc-rang-su-tham-my

Răng sứ kim loại quý
* Bác sĩ có góp ý như thế nào về việc một số trung tâm nha khoa, labo sản xuất răng sứ cho rằng có thể phân biệt răng sứ chất lượng, chuẩn CE với răng sứ kém chất lượng bằng thẻ bảo hành (chẳng hạn như IDPI)?
- Việc này vẫn chưa được ngành nha khoa Việt Nam hay Bộ Y tế khuyến cáo. Nguyên tắc cấp thẻ là sáng kiến riêng của một số labo nha khoa làm răng sứ. Theo tôi, nên có cuộc họp cụ thể của hội đồng khoa học ngành răng hàm mặt và Hội Răng hàm mặt cho ý kiến chỉ đạo trọng điểm chính quy.
* Kỹ năng, kinh nghiệm của nha sĩ, kỹ thuật viên có ý nghĩa ra sao trong việc làm răng sứ, thưa bác sĩ?
- Chế tác một chiếc răng sứ không phải là chuyện dễ, nó đòi hỏi kỹ thuật và y đức của nha sĩ răng hàm mặt luôn phải mài cùi răng cho chính xác, đúng chuẩn để đạt tính thẩm mỹ, độ dày cần thiết của lớp sứ sau này. Bác sĩ cũng là người quyết định chiếc răng bị mài có cần thiết phải điều trị tủy hay không. Đối với kỹ thuật viên, đòi hỏi tay nghề phải cao mới đắp sứ được khéo léo, đẹp theo yêu cầu bệnh nhân – nhất là phải đúng màu sắc với những chiếc răng thật còn lại.

Những trường hợp nào thì không được làm răng sứ

* Người bị bệnh tim mạch, cao huyết áp, đái tháo đường… làm răng sứ được không?Boc rang su tham my o dau tot ?
- Nguyên liệu răng sứ không độc hại trong môi trường miệng của bệnh nhân. Những ai mắc các bệnh lý nêu trên đều có thể làm răng sứ, không có chống chỉ định tuyệt đối. Tất nhiên, ở vài người bị bệnh tim hay hồi hộp khi mài răng vì đau có thể ảnh hưởng đến tim mạch, nha sĩ sẽ tiêm thuốc giảm đau, thuốc tê một cách cẩn trọng.
Chỉ đối với vài người bị bệnh máu chảy khó đông có thể nguy hiểm vì khi bác sĩ mài răng xác xuất có thể bị chạm vào nướu răng làm chảy máu kéo dài. Tuy vậy, tình huống này rất hiếm khi gặp phải.
* Thưa bác sĩ, khi làm răng sứ, bệnh nhân có thể gặp tai biến gì?
- Làm răng sứ có thể dẫn tới các tai biến dưới đây: tủy răng không được làm sạch sẽ trước khi bọc răng sứ. Đáng nhẽ bệnh nhân cần được lấy tủy răng nhưng nha sĩ không lấy, vô tư chụp răng sứ vào, làm cho bệnh nhân bị đau buốt, đôi khi làm chảy mủ ở vùng xương hàm.
Có bệnh nhân làm răng sứ xong lúc ăn nhai bị vướng víu, kênh cộm, đau nhức khớp thái dương hàm do nha sĩ mài chỉnh khớp cắn không tốt. Có người tiền sử nha chu nặng nhưng nha sỹ vẫn bọc chụp răng sứ lên trên đó, làm cho bệnh nha chu tiếp tục phát triển manh hơn dẫn đến các trụ cầu răng bị lung lay suy yếu. Thời gian về sau, bệnh nhân có thể mất thêm hai chiếc răng thật hai bên.
 boc rang su tham my o dau tot nhat
Tủy răng cần được làm sạch trước khi Boc rang su tham my o dau tot
Rất nhiều trường hợp bị tình trạng mão sứ không khít sát với cùi răng đã mài để ôm vừa đúng đường viền nướu, hoặc dưới đường viền nướu và từ đó không đáp ứng yêu cầu thẩm mỹ chất lượng, dễ bị sâu răng thứ phát, hay là gây hôi miệng bởi thức ăn bám đọng vào những rãnh giữa đường cổ răng của mão sứ với đường cổ răng thật của bệnh nhân.
Một loại tai biến khác nữa mà bệnh nhân gặp phải là nướu răng bọc sứ bị tụt, co ngót làm đường viền nướu bị lộ ra, hoặc bị đen đường viền nướu do nha sỹ  làm không đúng tiêu chuẩn kỹ thuật.