Chủ Nhật, 14 tháng 2, 2016

Giải pháp cho răng bị sứt mẻ,gãy vỡ

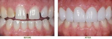
Răng cửa và răng hàm của bạn có thể bị sứt mẻ, gãy vỡ do tai nạn, chấn thương hoặc nhai, cắn phải vật cứng. Cũng có khi răng bị sứt mẻ do những thói quen xấu như cắn bút, nghiến răng…vậy giải pháp  Boc rang su tham my o dau tot khi răng bị những tác nhân gây hại như vậy chúng ta hãy cùng tìm hiểu.
Kết quả hình ảnh cho boc rang su tham my o dau tot
Răng sứt mẻ nhỏ ở phần men răng, kích thước <1mm. Trường hợp này thường không ảnh hưởng nhiều đến sức khỏe và thẩm mỹ, điều trị cũng đơn giản, có thể chỉ cần mài nhẵn và đánh bóng phần bị mẻ.
Răng mẻ vỡ đến ngà răng, kích thước 1-3mm. Khi đó sẽ có triệu chứng ê buốt khi uống nước lạnh; tuy nhiên tủy răng chưa bị ảnh hưởng, chưa cần phải lấy tủy. Trường hợp này chỉ cần bọc răng sứ thẩm mỹ để phục hồi lại hình thể, thẩm mỹ và chức năng ăn nhai của răng. Răng sứt mẻ có thể trám được không, hay phải Bọc răng sứ  ? Trên thực tế, răng thường bị sứt mẻ ở những vị trí góc cạnh, chịu lực nhiều, miếng trám thông thường không thể chịu được lực nhai cắn lớn, rất dễ bị bong, sút miếng trám. Đối với vùng răng cửa, sau 1 thời gian sử dụng miếng trám cũng thường bị đổi màu trông rất mất thẩm mỹ. Do đó bọc răng sứ là giải pháp an toàn, lâu dài, bền vững và thẩm mỹ nhất đối với răng bị sứt mẻ.

Răng bị gãy đến tủy răng. Khi đó răng rất buốt khi có kích thích nóng lạnh hoặc va chạm vào phần tủy lộ. Nếu để lâu sẽ gây viêm tủy và chết tủy, gây đau nhức dữ dội, mưng mủ ở dưới lợi phần chân răng. Trường hợp này cũng cần bọc răng sứ, nhưng trước khi bọc răng sứ cần phải lấy tủy (điều trị tủy) để răng không bị đau buốt và phòng ngừa viêm nhiễm về sau.
Răng bị gãy cụt đến sát lợi: Trường hợp này cách xử lý cũng giống trường hợp trên, nhưng ngoài ra phải cắm chốt ống tủy để tái tạo cùi răng cho đủ chiều dài; vì nếu cùi răng ngắn quá thì răng sứ cũng dễ bị bung, sút. Một số trường hợp có thể cần phẫu thuật nướu để làm dài phần thân răng cho đủ tiêu chuẩn.


Răng bị gãy chân răng: Trong trường hợp chân răng bị gãy ngầm trong xương hàm, kế hoạch điều trị có thể khá phức tạp. Quý khách vui lòng đến khám, chụp phim X quang để nha sĩ đưa ra lời khuyên chính xác nhất.

Không có nhận xét nào:

Đăng nhận xét